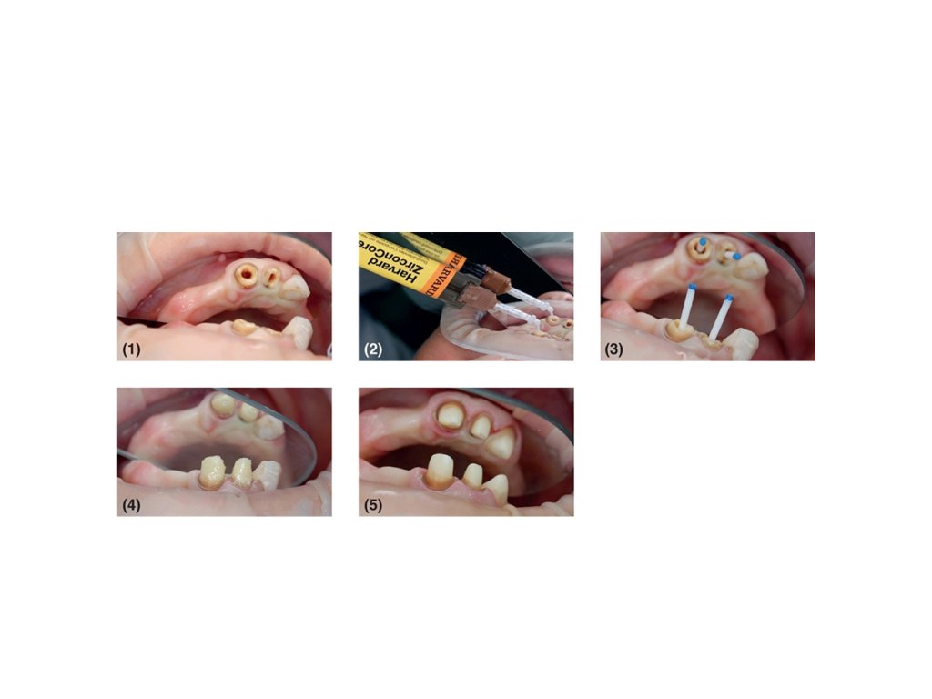
Harvard ZirconCore A2 duálně tuhnoucí
Popis
- duálně tuhnoucí dostavbový materiál pro fixaci čepů a dostavby pilířů zubů
- obsahuje značné množství ZrO2
- nejtvrdší dostavbový materiál na trhu - díky svým vlastnostem se bezpečně obrušuje
- univerzální opákně sytý odstín A3 zabraňuje průsvitnosti pahýlu = vhodný pro estetické náhrady z keramiky
- vlastnostmi se blíží dentinu
- rentgenkontrastní
- nově i v odstínu A2
Balení: 1x 5 ml AUTOMIX stříkačka, 10 mísících kanyl
Buďte první, kdo napíše příspěvek k této položce.
Pouze registrovaní uživatelé mohou vkládat příspěvky. Prosím přihlaste se nebo se registrujte.
